Vorab: Ich bin kein Arzt. Ich liste hier nur Spike-Detox Protokolle, welche Ärzte und Wissenschaftler in meinem Umfeld, die ich auch persönlich kenne, erfolgreich nutzen.
Wer Detox macht sollte das in ärztlicher Begleitung tun und Nieren und Leberwerte engmaschig im Auge behalten, damit er sich nicht durch das Detox schädigt. Man setzt auch Altlasten von vor 2020 frei, die ungebunden Schaden anrichten können.
Ich werde immer häufiger gefragt, wie man das Spike-Protein wieder los wird.
Dieser Artikel ist für Basti. Ehe ich dir eine lange Mail mit allen Möglichkeiten schicke, schreibe ich dir lieber gleich einen Artikel, der alles mit Bildern zusammenfasst.
Es gibt diverse Protokolle, die veröffentlicht sind und mehr oder minder erfolgreich eingesetzt werden. Besprecht mit eurem Arzt oder Heilpraktiker was für euch am geeignetsten ist. Teilweise wird wohl der Kostenfaktor, die räumliche Entfernung und die Verfügbarkeit an geeignetem medizinischen Personal eine Rolle spielen, welche Methoden man einsetzen kann.
McCullough Protokoll
Das bekannteste Protokoll dürfte das McCullough Protokoll aus dem Jahr 2023 sein.
Hulscher N, Procter BC, Wynn C, McCullough PA. Clinical Approach to Post-acute Sequelae After COVID-19 Infection and Vaccination. Cureus. 2023 Nov 21;15(11):e49204. doi: 10.7759/cureus.49204. PMID: 38024037; PMCID: PMC10663976. https://pubmed.ncbi.nlm.nih.gov/38024037/
Das Ursprüngiche McCullough Protokoll:
Die aktuelle, modifizierte Variante bei subklinischer Myokarditis:
500 mg Bromelain 2x täglich
8000 - 16000 FU Nattokinase täglich2 (Ursprünglich 2000 FU 2x täglich)
2000 mg Curcumin töglich (Ursprünglich 500 mg Curcurmin 2x täglich)
(0,6 mg Colchizin und 1-2 mg Rapamycin täglich bei subklinischer Myokarditis)
Bei Nattokinase hört man unterschiedliche Meinungen.
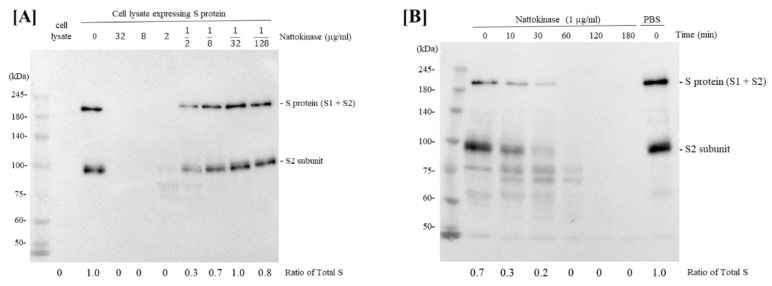
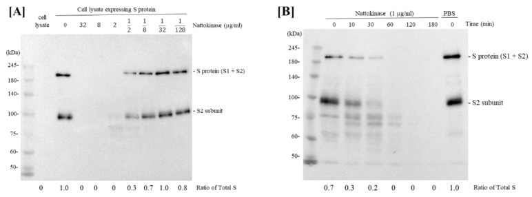
Es ist belegt, dass Nattokinase das Spike-Protein zerlegt.
(A) Dosisabhängige degradative Wirkung von Nattokinase. Seriell verdünntes Nattokinase (32 µg/ml, 8 µg/ml, 2 µg/ml, 500 ng/ml, 125 ng/ml, 31,25 ng/ml und 7,8125 ng/ml) wurde mit S-Protein-Expressionszelllysat gemischt und inkubiert. Das S-Protein in voller Länge (S1- und S2-Untereinheiten) und die S2-Untereinheit wurden als obere bzw. untere Banden nachgewiesen. Das Verhältnis von Gesamt-S wurde als relative Menge des S-Proteins (S-Protein + S2-Protein) angegeben. (B) Zeitabhängige degradative Wirkung von Nattokinase. Das S-Protein-Expressionszelllysat wurde mit 1 µg/ml Nattokinase für 0, 10, 30, 60, 120 und 180 Minuten inkubiert.3
(C) Auswirkungen von Wärmebehandlung oder Proteaseinhibitoren. Spur 1: HEK293-Lysat; Spur 2: HEK293-Lysat (S-Protein); Spur 3: HEK293 (S-Protein) + Nattokinase (5 µg/ml); Spur 4: HEK293 (S-Protein) + Nattokinase (5 µg/ml) + Proteaseinhibitor I; Spur 5: HEK293 (S-Protein) + Nattokinase (5 µg/ml) + Proteaseinhibitor III; Spur 6: HEK293 (S-Protein) + wärmebehandelte Nattokinase (5 µg/ml). (D) Abbauwirkung auf RBD des S-Proteins und ACE2. RBD des S-Proteins und ACE2-kodierende Plasmide wurden jeweils mit HEK293-Zellen transfiziert. Die Zelllysate wurden mit Nattokinase (7,5 µg/ml) und wärmebehandelter Nattokinase (7,5 µg/ml) inkubiert und anschließend wurde ein Western Blot durchgeführt.4
Es wurde heiß diskutiert, ob die entstehenden Fragmente des Spike-Proteins Amyloide bilden. Das Thema dürfte nun vom Tisch sein, weil Nattokinase auch Amyloide verdaut, zumindest im Reagenzglas.
Abbildung 3: Bilder der Fibrinaloid-Mikroklumpenbildung und deren Entfernung durch Nattokinase. Thrombin und Fibrinogen wurden zusammen mit Thioflavin T und LPS inkubiert und nach 6 Stunden in einem Cytation 1 abgebildet, wie in den Methoden beschrieben. Weitere Zusätze waren (A) keine, (B) PBS, (C) rekombinante Nattokinase 28 ng/μl. Balken = 2 mm (2.000 μm).5 6
Ein Problem, das bei Natto bleibt ist die Rückmeldung von Dr. Beate Jäger aus dem St. Georgs Krankenhaus in Bad Aibling, dass Natto die weißen Blutkörperchen schädigen kann. Das kennt man auch von anderen Medikamenten wie Fumarsäure. Daher muss man bei der Verwendung von Fumarsäure alle 6 Monate ein großes Blutbild zur Kontrolle machen.7
Ralph Tillenburg hat sich aus Sicht eines Hausarztes, der Impfgeschädigte behandelt, zu Natto geäußert und ein paar Daten zusammengetragen.8 Er ist der Meinung, dass viel Natto viel hilft. Da geht er wohl mit McCullough konform, der die Natto Dosis seit dem ursprünglichen Protokoll von 2023 von 4000 auf 16000 FU vervierfacht hat.
Wahrscheinlich sollte man, bis das Thema geklärt ist, bei Nattokinase vorgehen wie bei Fumarsäure und mindestens alle 6 Monate sicherheitshalber ein großes Blutbild machen, das man aber selbst zahlen muss.
Bei Curcuma gab es von diversen Ärzten die Rückmeldung, dass Curcumin Impfgeschädigte in einzelnen, seltenen Fällen in eine ME/CFS schicken kann. Es gibt aber auch Studien, die belegen, dass Curcumin bei ME/CFS ein gutes und probates Mittel ist.9
Vedicinals 9
Das Team um Joachim Gerlach hat 2021 Vedicinals 9 2021 ursprünglich zur Behandlung von COVID-19 entwickelt und in einer kleinen klinischen Studie getestet.10 Es gibt auch Einzelfallstudien, die zeigen, dass das Produkt das Spike-Protein eliminiert.11
Wie man Vedicinals 9 in Deutschland bestellt, ob per Mail oder online, weiß ich nicht. Es könnte sein, dass Vedicinals 9 nun “Liquid Spektrum” heißt.14
Molecusan
Molecusan ist das erweiterte Detox System des internationalen Teams um Joachim Gerlach, das die Zellen, die zu retten sind stabilisiert und dann abräumt, was nicht mehr zu retten ist.15
Mehr zum Forschungsstand der Gruppe findet man hier: Recordings – Healthcare Channel
Wie man das Molecusan System korrekt anwendet, da bin ich raus, das habe ich nicht verfolgt, da ich keine Behandlungen durchführe.
https://molecusan.com/pages/bundles
Bitte wendet euch an den Hersteller und lasst euch beraten, welches Produkt und welcher Reihenfolge bei euch wie angewendet werden sollte. Der Hersteller kennt sich am besten aus, vermute ich.
Prof. Dr. Harald Matthes
Professor Dr. Harald Matthes arbeitet im Klinikum Havelhöhe.16
Wie er bei seinem Patienten vorgeht, beschreibt er in Vorträgen:
Die verwendeten Medikamente sind verschreibungspflichtig und das ist nichts, was man ohne Arzt machen kann oder alleine machen sollte. Wenn ihr diesen Weg gehen wollt, dann besprecht das mit eurem Arzt, der sich mit Prof. Dr. Matthes unterhalten kann, wie man das korrekt durchführt.
Dr. Beate Jäger
Dr. Beate Jaeger aus dem St. Georgs Krankenhaus in Bad Aibling arbeitet mit dreifacher Blutverdünnung und H.E.L.P. Apherese und holt damit auch Menschen wieder aus dem Rollstuhl.
Holger und ich haben uns bei ihre untersuchen lassen und haben eine entsprechende Mikrothrombosendiagnose. Unser Behandlungsplan sieht wie folgt aus. Auf die Apherese haben wir so gar keine Lust, das werden wir vermeiden.
Dr. Raph Tillenburg
Dr. Tillenburg19 behandelt sehr viele Impfgeschädigte und fasst nun sein Wissen und seine Behandlungserfahrungen selbst auf Substack zusammen. Er hat auch einen Telegramkanal: https://t.me/coronawissenschaft
und eine Webseite: https://info-medico.de/
Dr. Tillenburgs Flussdiagram zur Spikeopathie:
Sein Behandlungsansatz braucht einiges an vorheriger Diagnostik und sieht wie folgt aus:
Definitiv zu komplex, um das ohne einen versierten Arzt selbst durchzuführen. Eher etwas für Ärzte, um daraus zu lernen. Ausschnitte der Vorträge von Dr. Tillenburg findet man im Kanal von Katharina König. Z. Bsp. hier in vier Teilen: https://t.me/ich_will_leben/6652
https://t.me/ich_will_leben/6526
https://t.me/ich_will_leben/6527
https://t.me/ich_will_leben/6528
Expertcouncil
Das Expertcouncil hat einen eigenen Leitfaden herausgegeben, der das kondensierte Wissen verschiedener Ärzte beinhaltet. Ein Leitfaden für Ärzte und Heilpraktiker und KEIN Do it yourself Büchlein für Impfgeschädigte. Auch hier ist Diagnostik gefragt und Erfahrung, denn es geht letztendlich um individuelle Therapiepläne für verschiedenste Schadbilder.
Als PDF kann man den Leitfaden hier herunterladen: https://t.me/DrBines_verbales_Vitriol/16765
K.E.M. Netzwerk
Letztes Jahr gab es vom K.E.M Netzwerk einen kleinen A5 Leitfaden mit Laborparametern. Mittlerweile ist das wohl zu einem 176 Seiten starken Buch geworden.
1. Auflage — Vorverkaufspreis - vorraussichtlich im Shop erhältlich: 20. Dezember 2025. Praktische Anleitungen für Therapeuten aus einem ärztlichen Netzwerk Medizinischer Leitfaden für die Arztpraxis. Evidenzbasiertes Praxiswissen. Dieser pragmatische Leitfaden für die Kitteltasche bietet Ärzten evidenzbasierte Orientierung zu Diagnostik und Therapie von Long-/Post-COVID, Post-Vac-Syndrom und der systemischen Erkrankung durch Spikeproteinen (Spikeopathie).
https://www.dr-mirja-effing.de/
https://www.gomedicus.com/hausarztpraxis-gosheim/
Der persönliche Detox-Plan von Katharina König
Katharina König dürfte Deutschland bekannteste Impfgeschädigte sein, die sich selbst auch wieder spikefrei bekommen hat. Ihren persönlichen Detox-Plan hat sie in ihrem Telegram Kanal zur Verfügung gestellt.
https://t.me/ich_will_leben/6514
Katharina arbeitet erfolgreich mit de Produkten von Robert Franz.
https://t.me/ich_will_leben/6776
Fazit:
Es gibt nicht DEN Leitfaden. Es gibt verschiedenste Erfahrungen und Ansätze, die sich teilweise widersprechen.
Wenn man einen Arzt mit Erfahrung in der Behandlung vom Schäden durch COVID-Injektionen hat, wäre das am Besten. Viele dieser Ärzte sind aber aktuell dünn gesäht und somit häufig nicht in der Nähe der Patienten. Zudem sind die wenige, die sich geoutet haben, Impfgeschädigte zu behandeln, überlastet und sie nehmen teilweise entweder keine Patienten mehr an oder es gibt lange Wartezeiten.
Man kann unter Umständen hier fündig werden und einen Arzt in seiner Nähe finden, der weiß was Sache ist.
MGWFD https://www.mwgfd.org/therapeutenvermittlung/
Hippokratischer Eid: https://www.aerzte-hippokratischer-eid.de/
Valdesana: https://valdesana.de/
Sollte man nicht fündig werden und möchte als Patient in die Selbstbehandlung gehen, sollte man seine Werte mit Hilfe seines Hausarztes im Auge behalten und vielleicht auf diese Art seinen Hausarzt vorsichtig anlernen.
Wenn man in die Eigenbehandlung gehen will, ist das eine Entscheidung, die der Patient selbstverantwortlich treffen muss, ich kann hier keine Empfehlungen geben. Mehr als Ärzte und deren Protokolle listen kann und darf ich nicht.
MCCULLOUGH, Peter A.; MEAD, Nathaniel; HULSCHER, Nicolas. COVID-19 Vaccine-Induced Subclinical Myopericarditis: Pathophysiology, Diagnosis, and Clinical Management. Medical Research Archives, [S.l.], v. 13, n. 11, nov. 2025. ISSN 2375-1924. Available at: <https://esmed.org/MRA/mra/article/view/7078>. Date accessed: 04 dec. 2025. doi: https://doi.org/10.18103/mra.v13i11.7078. https://esmed.org/MRA/mra/article/view/7078
MCCULLOUGH, Peter A.; MEAD, Nathaniel; HULSCHER, Nicolas. COVID-19 Vaccine-Induced Subclinical Myopericarditis: Pathophysiology, Diagnosis, and Clinical Management. Medical Research Archives, [S.l.], v. 13, n. 11, nov. 2025. ISSN 2375-1924. Available at: <https://esmed.org/MRA/mra/article/view/7078>. Date accessed: 04 dec. 2025. doi: https://doi.org/10.18103/mra.v13i11.7078. https://esmed.org/MRA/mra/article/view/7078
Tanikawa T, Kiba Y, Yu J, Hsu K, Chen S, Ishii A, Yokogawa T, Suzuki R, Inoue Y, Kitamura M. Degradative Effect of Nattokinase on Spike Protein of SARS-CoV-2. Molecules. 2022 Aug 24;27(17):5405. doi: 10.3390/molecules27175405. PMID: 36080170; PMCID: PMC9458005. https://pmc.ncbi.nlm.nih.gov/articles/PMC9458005/
Tanikawa T, Kiba Y, Yu J, Hsu K, Chen S, Ishii A, Yokogawa T, Suzuki R, Inoue Y, Kitamura M. Degradative Effect of Nattokinase on Spike Protein of SARS-CoV-2. Molecules. 2022 Aug 24;27(17):5405. doi: 10.3390/molecules27175405. PMID: 36080170; PMCID: PMC9458005. https://pmc.ncbi.nlm.nih.gov/articles/PMC9458005/
Study Finds Nattokinase Dissolves 84% of Amyloid Microclots Within 2 Hours In Vitro
View of Automated, Microscopic Measurement of Fibrinaloid Microclots and Their Degradation by Nattokinase, the Main Natto Protease | Journal of Experimental and Clinical Application of Chinese Medicine. (n.d.). https://ojs.exploverpub.com/index.php/jecacm/article/view/201/article543
Dimethylfumarat_Fumarsäureester.pdf https://debm.charite.de/fileadmin/user_upload/microsites/ohne_AZ/m_cc12/debm/D-Psoriasis/Dimethylfumarat_Fumars%C3%A4ureester.pdf
Info Medico https://info-medico.de/post/nattokinase
Toogood PL, Clauw DJ, Phadke S, Hoffman D. Myalgic encephalomyelitis/chronic fatigue syndrome (ME/CFS): Where will the drugs come from? Pharmacol Res. 2021 Mar;165:105465. doi: 10.1016/j.phrs.2021.105465. Epub 2021 Jan 30. PMID: 33529750. https://pubmed.ncbi.nlm.nih.gov/33529750/
German-Indian biotech co’s Vedicinals9 shows promising result in treating COVID-19 https://www.biospectrumindia.com/news/83/19027/german-indian-biotech-cos-vedicinals9-shows-promising-result-in-treating-covid-19.html
(PDF) Title Case Report: Reduction of Persistent Spike Protein and Improvement in COVID-19 Symptoms Following Therapy with Vedicinals-9 https://www.researchgate.net/publication/388835627_Title_Case_Report_Reduction_of_Persistent_Spike_Protein_and_Improvement_in_COVID-19_Symptoms_Following_Therapy_with_Vedicinals-9
(PDF) Series of Organ Effects of Vedicinals-9: Vedicinals -9 and Cardioprotection https://www.researchgate.net/publication/372406072_Series_of_Organ_Effects_of_Vedicinals-9_Vedicinals_-9_and_Cardioprotection
Vedicinals https://vedicinals.com/de/
Patentierte Formulierung für mehr Vitalität | Molecusan® Liquid Spectrum https://molecusan.com/products/liquid-spectrum
Großes Spike-Protein Update (schlimmer Verdacht bestätigt)
Prof. Dr. med. Harald Matthes: Institut für Sozialmedizin, Epidemiologie und Gesundheitsökonomie - Charité – Universitätsmedizin Berlin https://epidemiologie.charite.de/metas/person/person/address_detail/prof_dr_med_harald_matthes
Diagnostik und Therapie des Post-Covid- und Post-Vac-Syndroms ::: Prof. Harald Matthes :::
Dr. med. Beate Jaeger | Clinicum St. Georg https://www.klinik-st-georg.de/team/dr-med-beate-jaeger/
Praxis Tillenburg - Impfgeschädigte https://praxis-tillenburg.de/impfgesch%C3%A4digte
Microsoft PowerPoint - Impfnebenwirkungen_Vortrag Düsseldorf.pptx https://backend.info-medico.de/wp-content/uploads/2025/11/Impfnebenwirkungen_Vortrag-Duesseldorf.pdf



























Die Empfehlung bei Detox eine ärztliche Begleitung dieses Prozesses zu wählen funktioniert in meinem Teil Deutschlands nicht!! Mein Hausarzt hat mir die Erwähnung von Covid relevanten Themen per Unterschrift untersagt. Seit 3 Jahren kämpfe ich gegen Ignoranz, Diffamierung und Belehrung. Ich habe bis heute schwere Schäden, ME/CFS, Visus links von 90 auf 16, rechts auf 60. Starke Schmerzen am ganzen Körper, teilweise keinen Muskeltonus mehr und Chemikalien Hyper Sensibilität...
Zum McCullough Protokoll eine Anmerkung - Steve Kirsch dürfte es verwendet haben.
-
Steve Kirsch Victim of The Wellness Company Spikeopathy Pill Popping
https://geoffpain.substack.com/p/steve-kirsch-victim-of-the-wellness
Permanently Blinded in his right eye.
GeoffPainPhD - Jul 11, 2025
-
Wir bewegen uns noch immer in der Phase des "trial and error".