Primerlose PCR und EP-PCR
PCR Exoten: Reassembly-PCR aus DNA-Fragmenten und fehlerbehaftete PCR
Immer wieder muss ich mir anhören, dass Primer in eine PCR müssen, damit sie funktioniert.
NEIN, NEIN, und nochmal NEIN!!!!
Es gibt primerlose PCR und daher macht man nicht mehr als 20 Zyklen, wenn man etwas nachweisen will.
Standard PCR
Die Standard PCR ist Schulstoff der Oberstufe Biologie.
In Baden-Württemberg ist das Kursstufe Biologie und vom Land abgesegnetes Erklärungsmaterial findet man auf dem Landesbildungsserver, wo Lehrer Unterrichtsstunden herunterladen können.
Die Vervielfältigung eines Abschnitts aus einem DNA-Doppelstrang erfolgt in zyklischen Wiederholungen . Die spezifischen Primer (einzelsträngige Oligonukleotide aus 15 bis 30 Nukleotiden) bestimmen den zu vervielfältigenden Abschnitt. Bei jedem Zyklus erfolgt eine Verdoppelung des DNA-Abschnitts, d.h. nach 30 Kopien liegen 230 Kopien vor.
Die drei Teilschritte eines Zyklus sind:
a) Denaturieren: Trennen des DNA-Doppelstrangs bei 95 °C .
b) Hybridisieren: Anlagern (Annealing) der beiden Primer* an die DNA-Einzelstränge bei 58 °C. (Die Temperatur wird durch den Gehalt an G-und C-Nukleotiden der Primer bestimmt)
c) Polymerisieren (Extension): Ergänzung zu einem DNA-Doppelstrang durch die Taq-Polymerase bei 72 °C.
Im nächsten Zyklus werden die beiden DNA-Stränge wieder getrennt, die Primer angelagert und mittels Taq-Polymerase wieder zu DNA-Doppelsträngen ergänzt.
Die in genügender Menge vorliegenden DNA-Abschnitte können durch Elektrophorese getrennt und durch Anfärben sichtbar gemacht werden.1
Primerlose reassembly-PCR
Neben der Standard-PCR gibt es aber auch primerlose-PCR.
In einer reassembly-PCR, also einer wiederzusammensetz-PCR setzen sich Genfragmente wieder zu einem Gen zusammen.
In meiner Publikation (bei welcher mein Doktorvater mir die Autorenposition der technischen Assistentin zugewiesen hat und selbst den Erstautor belegt, während seine Frau den die Letztautorenposition bekam)2 habe ich die Genfragmente durch chemischen Verdau selbst hergestellt. Wenn man aber Proben aus einem Lebewesen nimmt, hat man immer verschiedenste DNA-Fragmente unterschiedlichster Größe aus Zelltrümmern in der Probe. Kleine DNA-Fragmente können dabei als Primer dienen, selbst, wenn man eine Primer zusetzt.
Schematisch sieht das so aus:
die verschiedenen Fragmente primen sich gegenseitig und erzeugen im Falle von Proben aus Lebewesen Pseudogene mit Nonsenssequenzen.
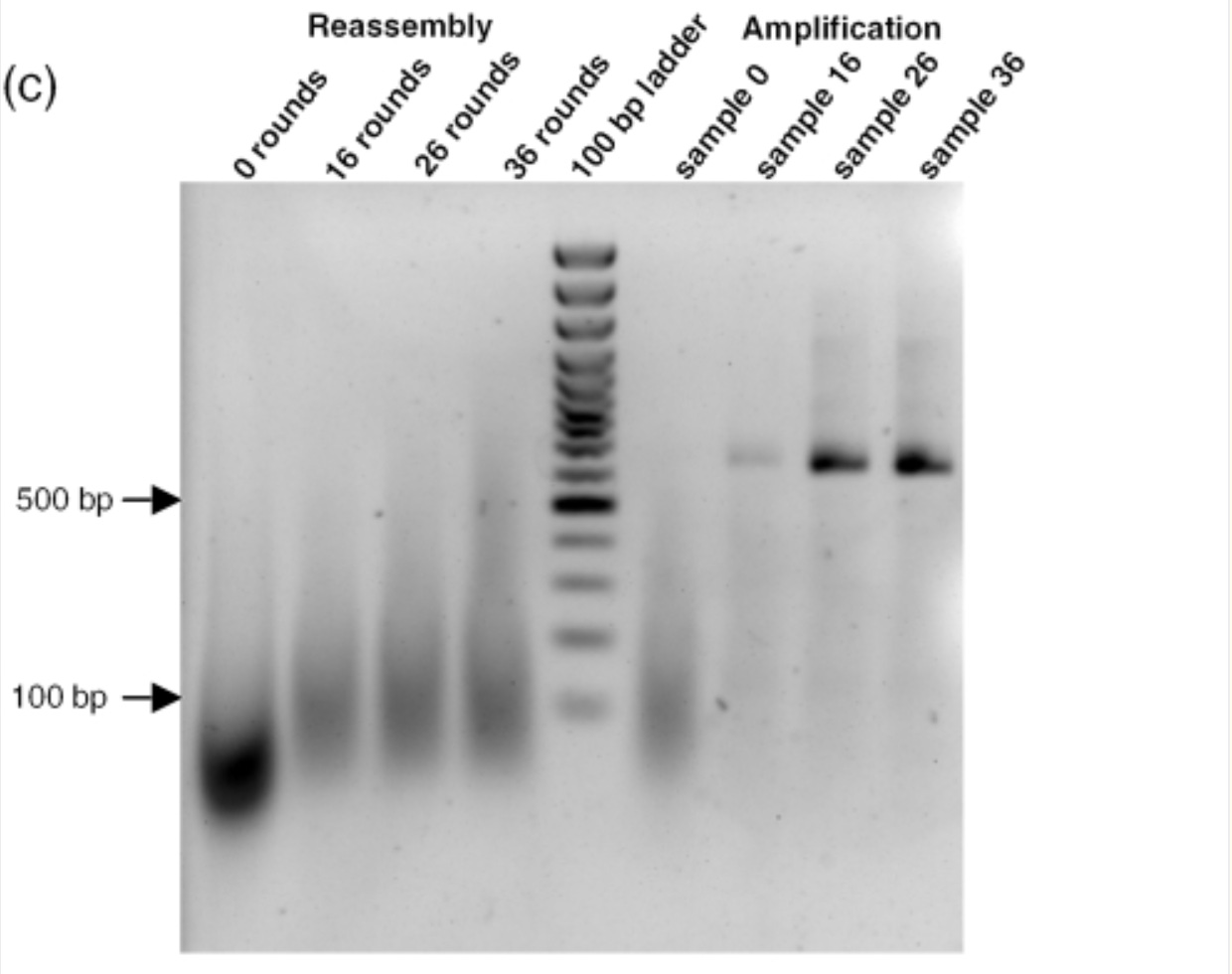
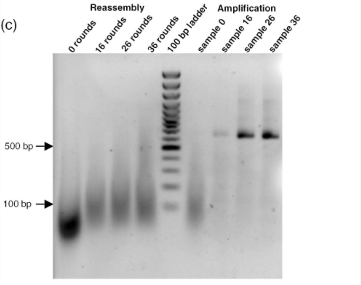
Auf einem Harnstoffgel kann man das sehr schön beobachten.
Links vom 100 BP Marker (einer DNA-Messleiter, die alle 100 BP ein Signal setzt), sieht man wie sich die DNA-Fragmente von Runde zu Runde immer mehr zusammensetzen und der Schmier so langsam nach oben wandert, bis sich (in meinem Fall) das gemixte Gen wieder mehr oder minder korrekt zusammensetzt.
Rechts vom Marker sieht man, wenn man in die jeweilige Mischung von der linken Seite Primer dazu gibt, um das Gen selektiv zu vermehren, dass bereits am 16 runden wieder zusammengesetztes vollständiges Genprodukt vorhanden ist. Ab Runde 26 ist das Gen schon in großer Menge vorhanden und das ganz ohne Primer auf der linken Seite.
Corona-PCR
Ich kann nicht sagen, wie jeder einzelne PCR-Nachweis jeweils im Detail funktionierte, da gab es Variationen, verschiedene Hersteller, verschiedene Pipettierroboterstraßen. Das Problem muss nicht bei allen Systemen aufgetaucht sein, dazu müsste man sich jedes System im einzelnen anschauen, ob die reassembly PCR wirklich ausgeschlossen war.
Ich habe kurz bei einem Hersteller für Corona-PCR-Tests in Kartuschenform im Außendienst gearbeitet und beziehe mich auf das System, welches ich aus Sicht eines Außendienstlers erlebt habe. Ich war nicht Teil des Entwicklerteams und kenne nicht die Details der Kartusche und ihren genauen Bauplan.4
Im Falle des Rhonda Systems hat man die Probe direkt in die PCR gesteckt ohne gesonderte Aufarbeitung und auf diese Probe wurde direkt die RNA in DNA Übersetzungs-PCR (reverse Transkription) gesetzt. Die DNA-Fragmente aus der Probe blieben in der Mischung und ich weiß nicht, ob sie in irgendeinem Schritt abgereinigt wurden. Genommen wurde die Probe im Rachen, was gut ist, im Gegensatz zu den fast-Hirnproben der anderen PCRs.
Nach der reversen Transkription wurde auf diese in DNA übersetzten Virus-RNA-Fragmente und die DNA-Fragmente aus den Zellen, die in der Mischung noch enthalten waren, die eigentliche Nachweis-PCR mit Primern gesetzt, bei denen die DNA-Fragmente aus den Zelltrümmern mit als Primer funktionieren können.
Ein weiteres Problem, welches zu einer reassembly-PCR führen kann und zwar in jeder PCR, ist, dass Taq einen Poly-A-Schwanz ans Ende des DNA-Produktes setzt. Diese As können mit Gegensträngen (Ts) paaren und so Multimere eines Gens erzeugen (das sind die Banden über der dicken Bande in sample 26 und 36) bzw. Mulitmere von Pseudogenen und sonstigen vermehrten Fragmente, die irgendwo irgendein Fragment gebunden haben, das als Primer fungieren kann. Bei PCRs, wo dieses Problem vermieden werden soll nimmt man Polymerasen mit Korrekturlesefunktion, die keinen Poly-A-Schwanz ans Ende setzen, wie Vent oder Pfu. Vent ist 5x genauer als Taq5, Pfu ist 6x genauer als Taq und Phusion 50x genauer asl Taq6. Man hat aber lieber die billige, gammelige, schrottige Taq genommen.
Beim Rhonda System lief es so: Es liefen 3 PCRs parallel, keine Negativkontrolle, und es musste 2-3 Mal das gleiche Ergebnis herauskommen. Wenn also 2 PCRs von 3 positiv waren und eine negativ, war der Test positiv. Bei zwei negativen und einer positiven PCR war das Ergebnis vermutlich negativ. Ich habe im Außendienst diverse Errors erlebt.
Saubere PCR sieht anders aus. Aber immerhin war das System von der Kontamination her eigentlich eine saubere Sache, wenn die Disk nicht delaminiert ist (sich die Folienversiegelung gelöst hat), was vorkommen konnte in Laborversuchen. Ob es auch beim Kunden passiert ist, weiß ich nicht.
Im Labor würde ich zunächst die RNA extrahieren und die reverse Transkription mit der Probe machen. Danach das Produkt reinigen und mit gereinigtem Produkt die neue PCR separat ansetzen, um Verunreinigungen zu vermeiden… Ich glaube, das wurde in Kartuschensystemen in den seltensten Fällen gemacht.
Damit besteht bei dieser Art zweischrittiger PCR immer die direkt aufeinander gesetzt werden Gefahr, das im Hintergrund eine reassembly PCR mit nicht funktionalen Pseudogenen läuft, die aber Primerstellen für die eigentliche Nachweis-PCR enthalten und so ein falsch-positives Signal erzeugen.
Wie man in meinem Harnstoffgel sehr schön sieht, besteht die Gefahr bereits ab 16 Zyklen, daher hört man im Normalfall bei PCRs nach 20-25 Zyklen auf.
Fehlerbehaftete PCR (error-prone-PCR (EP-PCR))
Will man die Fehlerrate einer PCR hochtreiben, um seinen Genbibliothek zu diversifizieren, fügt man dem Puffer Mangan bei.
“Die EP-PCR nutzt die von Natur aus geringe Genauigkeit der Taq-DNA-Polymerase, die durch Zugabe von Mn2+, Erhöhung der Mg2+-Konzentration und Verwendung ungleicher dNTP-Konzentrationen weiter verringert werden kann.”7
Folglich ist Mangan (Mn) in PCRs mit Taq tunlichst zu vermeiden, will man ein halbwegs vernünftiges Ergebnis haben.
Was auch immer der Master Mix 1 bei der PCR zum Nachweis tut, er enthält Mangan und das sollte in Kombination mit Taq vermieden werden, weil es deren Spezifität noch schlechter macht, als sie im Vergleich mit Vent und Pfu ohnehin ist.
Ob andere Puffer auch Mangan enthielten weiß ich nicht, Mn gehört auch keinen Fall in Taq-Puffer, will man nicht eine EP-PCR machen.
Polymerasekettenreaktion. (n.d.). Landesbildungsserver Baden-Württemberg. https://www.schule-bw.de/faecher-und-schularten/mathematisch-naturwissenschaftliche-faecher/biologie/unterrichtsmaterialien/sek2/zellbio/poly
Müller KM, Stebel SC, Knall S, Zipf G, Bernauer HS, Arndt KM. Nucleotide exchange and excision technology (NExT) DNA shuffling: a robust method for DNA fragmentation and directed evolution. Nucleic Acids Res. 2005 Aug 1;33(13):e117. doi: 10.1093/nar/gni116. PMID: 16061932; PMCID: PMC1182171. https://pubmed.ncbi.nlm.nih.gov/20967620/
Corona-Schnelltest von Spindiag - Hahn-Schickard https://www.hahn-schickard.de/projekte/erfolgsgeschichten/corona-schnelltest
Vent® DNA Polymerase | NEB https://www.neb.com/en/products/m0254-vent-dna-polymerase
Phusion™ High-Fidelity DNA Polymerase | NEB https://www.neb.com/en/products/m0530-phusion-high-fidelity-dna-polymerase
Wilson DS, Keefe AD. Random mutagenesis by PCR. Curr Protoc Mol Biol. 2001 May;Chapter 8:Unit8.3. doi: 10.1002/0471142727.mb0803s51. PMID: 18265275. https://pubmed.ncbi.nlm.nih.gov/18265275/
cobas SARS-CoV-2 Duo - Instructions for Use https://www.fda.gov/files/medical%20devices/published/EUA-Roche-Duo-ifu.pdf








Mein Allzeit-Favorit: https://orf.at/stories/3247548/
Nix da mit 20, da geht viel mehr, wenn man schnell ein paar offiziell Kranke mehr braucht.
Interessantes zum Spike-Protein: https://open.substack.com/pub/unbekoming/p/the-spike-protein-deception?utm_source=share&utm_medium=android&r=31oy60
Stone und Vollmer als Referenzen kommen nicht ganz sauber rüber, aber der Rest gibt zu denken.